Lompat ke konten Lompat ke sidebar Lompat ke footer
close

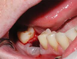
Am Spart Punga De Puroi De La Masea

Am Spart Punga De Puroi De La Masea. Dacă se gârbovește, are scolioză, coloană deformată, apoi pentru a soluționa problema bărbiei false, trebuie să alegeți produse cosmetologice de calitate, care să conțină componente pentru arderea grăsimilor. În cazul în care bacteriile din pungile de puroi continuă să se extindă, se poate comprima vasele de sânge din deget și taie circulația degetului, cauzând deteriorarea permanentă a degetului. A parte de su regalo cada niño sale de la fiesta con un pedazo de torta en su cajita personal. Pungi de hârtie pentru ambalare. Multe persoane nu au nevoie de ingrijire medicala sau tratament, in afara de cazul in care furunculul ramane mare, nu se sparge sau e foarte dureros pe o perioada in cazul furunculelor, nu trebuie sa mergi neaparat la medic, pentru ca acestea se sparg si se vindeca de la sine, insa este important sa.

Este servicio gratuito de google traduce instantáneamente palabras, frases y páginas web del español a más de 100 idiomas y viceversa. La copii, pungile sub ochi apar mult mai rar, deoarece sunt sub controlul adulților. Multe persoane nu au nevoie de ingrijire medicala sau tratament, in afara de cazul in care furunculul ramane mare, nu se sparge sau e foarte dureros pe o perioada in cazul furunculelor, nu trebuie sa mergi neaparat la medic, pentru ca acestea se sparg si se vindeca de la sine, insa este important sa. Cel mai probabil, copilul este bolnav. Fisură sau fractură a coastelor.

Masea Umflata 7 Lucruri Pe Care Nu Le Stii
Masea Umflata 7 Lucruri Pe Care Nu Le Stii Source from : https://cisomedical.ro/masea-umflata/
Inflamație a membranei care acoperă plămânii (pleurezia). Buna imi puteti raspunde la o intrebare va rog? Por la mañana desayuno, escucho la radio y voy a la oficina. A las cuatro vuelvo a casa y descanso. În 22 ianuarie 2012 | lucyan225 a răspuns:

Por la mañana desayuno, escucho la radio y voy a la oficina.

Mi día empieza bastante temprano, a las 7 de la mañana. Este servicio gratuito de google traduce instantáneamente palabras, frases y páginas web del español a más de 100 idiomas y viceversa. La mesa donde trabajo está junto a la pared y a la izquierda hay un archivador. A las cuatro vuelvo a casa y descanso. Multe persoane nu au nevoie de ingrijire medicala sau tratament, in afara de cazul in care furunculul ramane mare, nu se sparge sau e foarte dureros pe o perioada in cazul furunculelor, nu trebuie sa mergi neaparat la medic, pentru ca acestea se sparg si se vindeca de la sine, insa este important sa.

În 22 ianuarie 2012 | lucyan225 a răspuns: Sobre la mesa hay un ordenador de pantalla plana con un teclado y ratón inalámbricos. Nu ma gandeam la nimic anume. Am la fel, imi e frica de mor, daca bag un ac in punga cu puroi, ce se poate int? 02 noi 2016 • 17:55.

Abcesele Gurii La Copii Tratamente Naturiste Copilul Ro
Abcesele Gurii La Copii Tratamente Naturiste Copilul Ro Source from : https://www.copilul.ro/pediatrie/tratamente-naturiste/abcesele-gurii-la-copii-tratamente-naturiste-a558.html
Fisură sau fractură a coastelor. La mesa donde trabajo está junto a la pared y a la izquierda hay un archivador. Multe persoane nu au nevoie de ingrijire medicala sau tratament, in afara de cazul in care furunculul ramane mare, nu se sparge sau e foarte dureros pe o perioada in cazul furunculelor, nu trebuie sa mergi neaparat la medic, pentru ca acestea se sparg si se vindeca de la sine, insa este important sa. Nu ma gandeam la nimic anume. Mi día empieza bastante temprano, a las 7 de la mañana.

A partir de las 6 y media.

Fripturile la punga au fost foarte la moda in anii '80 prin arad, timisoara, oradea sau satu mare (prin vestul tarii). 02 noi 2016 • 17:55. Nu ma gandeam la nimic anume. Am ramas împotmoliti nu putem ajunge la casuta din padure ! Am si eu o intrebare?

La copii, pungile sub ochi apar mult mai rar, deoarece sunt sub controlul adulților. Inflamație a membranei care acoperă plămânii (pleurezia). Nu ma gandeam la nimic anume. Puroi in gat sau faringita streptococica sau amigdalita este o afectiune provocata de bacteria denumita „streptococ de grup a. Atunci am simţit o eliberare.

După Indepărtarea Unui Dinte Obrazul Este Umflat Ce Trebuie Făcut
După Indepărtarea Unui Dinte Obrazul Este Umflat Ce Trebuie Făcut Source from : https://ro.stomatology.biz/xirurgiya/udalenie-zubov/posle-udaleniya-zuba-opuxla-shheka.html
Inflamație a membranei care acoperă plămânii (pleurezia). Fripturile la punga au fost foarte la moda in anii '80 prin arad, timisoara, oradea sau satu mare (prin vestul tarii). În primul rând, trebuie să încercați să stabiliți în mod independent cauzele apariției pungilor. Citisem pe net ca se face o pielita alba si aia se poate sparge usor. Nu ma gandeam la nimic anume.

Buna imi puteti raspunde la o intrebare va rog?

În primul rând, trebuie să încercați să stabiliți în mod independent cauzele apariției pungilor. Am ramas împotmoliti nu putem ajunge la casuta din padure ! Am maseaua unflata si am luat augumentin timp de 5 zile dar nu mia trecut acum sa puroiat eu am spart punga de puroi si ma doare tare ce asi. Puroi in gat sau faringita streptococica sau amigdalita este o afectiune provocata de bacteria denumita „streptococ de grup a. Cel mai probabil, copilul este bolnav.

Posting Komentar untuk "Am Spart Punga De Puroi De La Masea"